Читать книгу - "Остеохондроз для профессионального пациента - Игорь Данилов"
Аннотация к книге "Остеохондроз для профессионального пациента - Игорь Данилов", которую можно читать онлайн бесплатно без регистрации
Чтобы вы лучше понимали, как выглядит позвоночник когда в позвоночном сегменте уже нет диска и происходят вышеупомянутые процессы фибротизации и васкуляризации (относящиеся к последней стадии развития дегенеративно-дистрофического процесса), приведу ещё один снимок пациента после многократных хирургических вмешательств.
МРТ № 102

На МРТ № 102 хорошо видно, как после многократных хирургических вмешательств образуется множество послеоперационных рубцов, спаек и других проблем в позвоночнике. То есть, созданы все условия для фибротизации (перерождения ткани диска, образования фиброзных волокон) и васкуляризации (лат. vas — сосуд; формирования новых капилляров, в данном случае при процессе сращивания костной ткани). Всё это способствует сращиванию двух смежных тел позвонков, лишённых диска. В свою очередь это исключает подвижность в данном сегменте, приводит к стенозу фораминальных отверстий (как вы помните, это отверстия, через которые проходят нервные корешки и сосуды). Вдобавок ко всему, послеоперационные спайки и рубцы в спинномозговом канале могут способствовать развитию воспалительных процессов, о которых уже упоминалось выше. Нарушение функциональной способности данного позвоночного сегмента ведёт к ещё большим биомеханическим нарушениям в позвоночнике, соответственно частичной утрате его рессорных свойств, а следовательно, значительному снижению сопротивляемости к разнообразным вертикальным нагрузкам.
Как правило, в таких случаях, когда межпозвонковый диск безвозвратно утрачен или при наличии «необратимых изменений анатомической структуры межпозвонковых дисков», хирурги предлагают сделать другую операцию с использованием ортопедических методов оперативного лечения (тотальная дискэктомия с межтеловым спондилодезом). Дискэктомия (discectomia; discus intervertebralis — межпозвонковый диск; ectomia от греч. ektome — вырезание, иссечение, удаление) — хирургическая операция удаления межпозвонкового диска. Спондилодез (spodylodesis; от греч. spodylos — позвонок, desis — связывание) — операция, направленная на обездвижение какого-либо сегмента или отдела позвоночника; межтеловой спондилодез — хирургическое соединение тел позвонков по типу слияния. Данная операция предусматривает полное (тотальное) удаление дегенерирующего межпозвонкового диска и последующее его замещение имплантантом (неподвижной или подвижной конструкции, хотя разница по последствиям невелика). Естественно, после такой операции рецидива грыжи межпозвонкового диска в данном сегменте просто не может быть, так как нет и самого диска (но это не исключает грыжеобразование в других сегментах позвоночника вследствие нарушения его биомеханики). Основной целью данной операции является сохранение высоты дискового промежутка и размеров межпозвонковых отверстий. Конечно, живой диск это не заменит и полноценной функциональной подвижности в данном сегменте также не вернёт (соответственно, всего лишь незначительно стабилизирует нарушенную работу мышц, связок). Безусловно, глобально это проблемы позвоночника не решит, поскольку биомеханические нарушения в позвоночнике по-прежнему будут иметь место. Как говорится, одно звено сломано — вся цепь порвана.
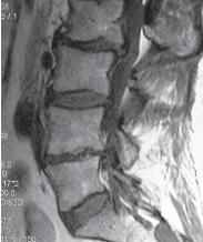
Следующий пример показывает состояние поясничного отдела позвоночника через два года после проведённой ламинэктомии. Ламинэктомия (лат. lamina — пластинка, греч. ektome — иссечение) — хирургическая операция: вскрытие позвоночного канала путём удаления дуг позвонков.
МРТ № 103

На МРТ №°103 наблюдается грыжа межпозвонкового диска в сегменте LIV-LV, частично компенсированная спондилёзом, гипертрофия задней продольной связки и выраженный эпидурит на данном уровне. В сегменте LV-SI наблюдается протрузия межпозвонкового диска, компенсированная спондилёзом. На уровне этих же сегментов наблюдается рубцовоспаечный процесс, как следствие перенесённой хирургической операции — ламинэктомии, проведённой в сегментах (LIV-LV, LV-SI), с целью устранения грыжи межпозвонковых дисков и декомпрессии спинномозговых корешков на данных уровнях.
Приведённый ниже случай является показательным примером, как пациентка попала к недобросовестному хирургу, который сделал ей абсолютно необоснованную операцию.

На МРТ № 104 наблюдается начальная стадия дегенеративного процесса в шейном отделе позвоночника, протрузия межпозвонкового диска в сегменте CVI—CVII.
На МРТ № 105 наблюдается состояние после проведённой тотальной дискэктомии с передним межтеловым спондилодезом в сегменте CV—CVII, выпрямление физиологического лордоза, абсолютный стеноз спинномозгового канала с блоком ликворных путей, секвестрированные грыжи (с краниальной миграцией секвестров) в сегментах CIV-CV, CV-CVI, CVII-ThI.
Состояние пациентки после операции ухудшилось, а в течение последующего года — значительно усугубилось. В данном конкретном случае не совсем понятно, зачем сделали эту операцию? Дооперационные жалобы больной были больше сосудистого характера. Прямых показаний к операции просто не было! Если бы данная пациентка прошла медикаментозное лечение у невропатолога, без хирургического вмешательства, то сейчас её здоровье было бы намного лучше, да и будущее бы не вызывало опасений в плане последующих осложнений.
Вот ещё трагический случай во время проведения необоснованной операции.

На МРТ № 106 состояние шейного отдела пациентки до операции. Наблюдается сглаженность физиологического лордоза, ликворные пути свободны, компенсированные протрузии межпозвонковых дисков в сегментах СIII—СIV
На МРТ № 107 состояние шейного отдела той же пациентки после дискэктомии с межтеловым спондилодезом в сегменте CV—CVI, кроме того наблюдается травма спинного мозга на данном уровне хирургической фрезой.
Если до операции у данной пациентки были незначительные вертебробазилярные нарушения, то после… Травма спинного мозга хирургической фрезой — это, конечно, трагическая случайность. Ведь от ошибок никто не застрахован и добросовестный врач никогда не даст гарантии на положительный исход любого вида лечения. Но в данном случае проведение самой операции было абсолютно необоснованным, фактически она превратила нормального человека в инвалида.
Следующий пример также демонстрирует, какие бывают последствия после дискэктомии с межтеловым спондилодезом.
Прочитали книгу? Предлагаем вам поделится своим впечатлением! Ваш отзыв будет полезен читателям, которые еще только собираются познакомиться с произведением.
Оставить комментарий
-
Вера Попова27 октябрь 01:40
Любовь у всех своя-разная,но всегда это слово ассоциируется с радостью,нежностью и счастьем!!! Всем добра!Автору СПАСИБО за добрую историю!
Любовь приходит в сентябре - Ника Крылатая
-
Вера Попова10 октябрь 15:04
Захватывает,понравилось, позитивно, рекомендую!Спасибо автору за хорошую историю!
Подарочек - Салма Кальк
-
Лиза04 октябрь 09:48
Роман просто супер давайте продолжение пожалуйста прочитаю обязательно Плакала я только когда Полина искала собаку Димы барса ♥️ Пожалуйста умаляю давайте еще !))
По осколкам твоего сердца - Анна Джейн
-
yokoo18 сентябрь 09:09
это прекрасный дарк роман!^^ очень нравится
#НенавистьЛюбовь. Книга вторая - Анна Джейн


