Читать книгу - "Остеохондроз для профессионального пациента - Игорь Данилов"
Аннотация к книге "Остеохондроз для профессионального пациента - Игорь Данилов", которую можно читать онлайн бесплатно без регистрации
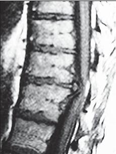
На МРТ № 21 наблюдается секвестрированная грыжа межпозвонкового диска шейного отдела позвоночника в сегменте CIII-CIV. На данном снимке, хорошо видно, как фрагмент (секвестр) грыжи межпозвонкового диска, исходя из сегмента СIII-СIV, уходит краниально (т. е. вверх, по направлению к голове) и грубо сдавливает спинной мозг на данном уровне.
МРТ № 22

МРТ № 23

На МРТ № 22 и МРТ № 23 наблюдаются дорсальные грыжи межпозвонковых дисков в грудном отделе позвоночника
Считается, что грыжи межпозвонкового диска больших размеров, а тем более секвестрированные грыжи, способны в значительной степени инвалидизировать человека, так как могут частично или же полностью компримировать (лат. comprimere — сжимать, сдавить) спинной мозг и его корешки. Это, несомненно, так. На практике грыжи межпозвонковых дисков, даже небольших размеров, в условиях стеноза (греч. steosis — сужение) спинномозгового канала или же фораминальной локализации (направленные в межпозвонковое отверстие) могут вызвать такие же осложнения, как и секвестры.
МРТ № 24

На серии снимков МРТ № 24 наблюдаются дорсальные грыжи межпозвонковых дисков в поясничном отделе позвоночника в сегментах Lv—SI Это самый уязвимый межпозвонковый диск, так как в силу своего анатомического расположения на него приходятся самые большие нагрузки. Как говорится, по счёту «последний», а по уязвимости, первый. Поэтому в нём чаще, чем в других межпозвонковых дисках, возникают, различные осложнения, в том числе и грыжи
МРТ № 25

На серии снимков МРТ № 25 наблюдаются дорсальные грыжи межпозвонковых дисков в поясничном отделе позвоночника в сегментах LIV-LV Lv—SI Такие комбинации, в которых образуются по нескольку грыж, межпозвонковых дисков одновременно, случаются довольно часто на более поздних стадиях развития дегенеративно-дистрофического процесса. В общем, беда не приходит одна, «несчастье» любит, компанию
МРТ № 26

На серии МРТ № 26 наблюдаются секвестрированные грыжи межпозвонковых дисков в поясничном отделе позвоночника в сегментах LIV—LV LV—SI с каудальной (каудальной — расположенной ближе к нижней части туловища, направленной вниз) миграцией секвестра (фрагментов межпозвонкового диска)
МРТ № 27

На серии МРТ № 27 наблюдаются секвестрированные грыжи межпозвонковых дисков в поясничном отделе позвоночника в сегментах L]-Sl с краниальной (вверх) миграцией секвестра (фрагментов межпозвонкового диска)
Должен заметить, что по моим наблюдениям, к сожалению, практически все существующие на сегодняшний день методы лечения дегенеративно-дистрофического процесса, в том числе и осложнённого грыжами межпозвонковых дисков, направлены на устранение болевого синдрома. Проще говоря, лечат следствие, а не причину! Обращаю ваше внимание на следующий факт. Бывают грыжи межпозвонковых дисков, которые не вызывают никакой симптоматики, так называемые «немые» грыжи. Как правило, они имеют срединную локализацию. Некоторые «специалисты», практикующие в области вертебрологии, ошибочно считают, что такие грыжи абсолютно безопасны и лечить их нет необходимости. При этом навязывают своё (в данном случае необоснованное, ошибочное) мнение, что межпозвонковые грыжи опасны лишь тогда, когда вызывают боли. К сожалению, это далеко не так!
МРТ № 28

На МРТ № 28 наблюдается секвестрированная грыжа межпозвонкового диска в поясничном отделе позвоночника в сегменте LV—S1 с каудальной миграцией секвестра
Межпозвонковые грыжи весьма опасны и коварны, даже если и не вызывают болей. Дело в том, что длительное раздражение или сдавление межпозвонковой грыжей задней продольной связки, оболочек спинного мозга вызывает развитие воспалительных процессов в спинномозговом канале с последующим развитием эпидурита (воспаление клетчатки эпидурального пространства), арахноидита (воспаление паутинной (арахноидальной) оболочки головного или спинного мозга), а так же спаечных процессов. Так что оставлять человека один на один с его проблемой «немых» грыж, не оказав ему своевременную помощь, это всё равно, что обрекать его на усугубление патологических процессов в его позвоночнике и развитие нового «букета» заболеваний.
Хотелось бы затронуть и тему нейроинфекции. Профессор, академик Валентин Иванович Покровский (крупный ученый с мировым именем, клиницист-инфекционист, эпидемиолог) дал такое определение нейроинфекций: «Нейроинфекции — чрезвычайно гетерогенная группа распространённых заболеваний центральной и периферической нервной системы, характеризующихся, как правило, тяжёлым течением, высокой летальностью и стойкой инвалидизацией». В повседневной практике мне часто приходится встречаться с развитием нейроинфекции у больных, появившейся вследствие дегенеративно-дистрофических изменений в позвоночнике. В общем-то это естественно, так как, к примеру, длительное сдавление грыжей межпозвонкового диска оболочек спинного мозга или спинномозгового корешка вызывает развитие воспалительных процессов и приводит к эпидуриту, а порой и к арахноидиту. В свою очередь это обеспечивает идеальные условия для проникновения через очаг воспаления различных инфекционных агентов, особенно вирусов (от лат. virus — «яд»), которые таким образом, минуя гематоэнцефалический барьер, попадают непосредственно в спинномозговую жидкость (ликвор) и беспрепятственно распространяются по ликворным путям. А если при этом у больного имеется нарушение ликвородинамики вследствие сдавления ликворных путей грыжей межпозвонкового диска или же костными структурами позвоночника, что приводит к затруднению (замедлению) циркуляции ликвора и образует его длительные застои в нижней люмбальной цистерне (в пояснично-крестцовом отделе позвоночника), в боковых карманах спинномозговых корешков, то это в свою очередь вызывает нарушение питания тканей и обеспечивает идеальные условия для развития инфекционного процесса. А, как известно, инфекционный процесс составляет основу развития инфекционных заболеваний, по мере прогрессирования которых возникают значительные поражения спинного и головного мозга, нарушающие работу органов и систем организма.
Прочитали книгу? Предлагаем вам поделится своим впечатлением! Ваш отзыв будет полезен читателям, которые еще только собираются познакомиться с произведением.
Оставить комментарий
-
Вера Попова27 октябрь 01:40
Любовь у всех своя-разная,но всегда это слово ассоциируется с радостью,нежностью и счастьем!!! Всем добра!Автору СПАСИБО за добрую историю!
Любовь приходит в сентябре - Ника Крылатая
-
Вера Попова10 октябрь 15:04
Захватывает,понравилось, позитивно, рекомендую!Спасибо автору за хорошую историю!
Подарочек - Салма Кальк
-
Лиза04 октябрь 09:48
Роман просто супер давайте продолжение пожалуйста прочитаю обязательно Плакала я только когда Полина искала собаку Димы барса ♥️ Пожалуйста умаляю давайте еще !))
По осколкам твоего сердца - Анна Джейн
-
yokoo18 сентябрь 09:09
это прекрасный дарк роман!^^ очень нравится
#НенавистьЛюбовь. Книга вторая - Анна Джейн


