Читать книгу - "Геном человека: Энциклопедия, написанная четырьмя буквами - Вячеслав Тарантул"
Аннотация к книге "Геном человека: Энциклопедия, написанная четырьмя буквами - Вячеслав Тарантул", которую можно читать онлайн бесплатно без регистрации

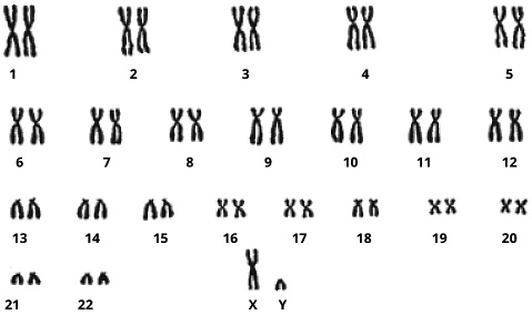
Рис. 7. Вид под микроскопом полного набора хромосом, содержащихся в ядре каждой отдельной клетки человека
Напомним читателю, что набор хромосом во всех клетках человека (за исключением половых) называют диплоидным (двойным), поскольку каждая из хромосом представлена двумя копиями (всего 23 пары). Каждая соматическая клетка человека (кроме красных кровяных клеток крови) содержит по 2 полных набора хромосом. В каждом единичном (гаплоидном) наборе присутствует 23 хромосомы — 22 обычные хромосомы (аутосомы) и по одной половой хромосоме — X или Y. Таким образом, геном каждого конкретного человека состоит из 23 пар гигантских молекул ДНК, распределенных в разных хромосомах, а если говорить о геноме человека вообще (мужчин и женщин), то общее число таких молекул равно 24. Это первое базовое сведение, которое было получено о геноме человека при анализе хромосом.
Изучение строения (размера и формы) хромосом человека показало, что большинство из них по внешнему виду напоминают кегли, состоящие из двух толстых частей (хроматид) и тонкой перетяжки (центромеры) между ними. Сходство с кеглями, а не с гантелями заключается в том, что центромера чаще всего расположена не в центре хромосомы, а смещена к одному из ее концов. Размеры хромосом сильно варьируют, самая короткая хромосома примерно в десять раз меньше, чем самая длинная. Это второе принципиально важное сведение о структуре генома человека — составляющие его 24 молекулы ДНК имеют разный размер.
Если сравнивать число и размер хромосом у человека и у других видов организмов, то можно увидеть огромные отличия. Например, у коровы, размер генома которой примерно равен геному человека, имеется 60 пар хромосом. У шпорцевой лягушки содержится всего 18 хромосом, но даже самые маленькие из них больше, чем самые крупные хромосомы человека. У птиц, наоборот, число хромосом достигает 40 и более и все они очень небольшие по размерам. Таким образом, разнообразие хромосом в природе весьма велико.
С помощью световой микроскопии были определены размеры всех хромосом человека. Затем все неполовые хромосомы были пронумерованы по уменьшению размера — от 1 до 22. Половым хромосомам не присвоили номер, а назвали X и Y. Как показали более точные последующие исследования, хромосома 21 реально оказалась чуть меньше 22, однако нумерацию хромосом не изменили (чтобы не вносить путаницу). Различие в хромосомных наборах между мужчинами и женщинами состоит в том, что у женщин имеются две половые X-хромосомы (т. е. хромосомы во всех 23-х парах одинаковы), а у мужчин пару с X-хромосомой образует мужская половая хромосома — Y. Каждую хромосому можно рассматривать как отдельный том большого двадцатичетырехтомного собрания сочинений под названием Энциклопедия человека.
Половые клетки человека, в отличие от клеток тела взрослого организма (соматических клеток), содержат не 2 набора томов ДНКового текста, а всего лишь один. Перед зачатием каждая отдельная хромосома (отдельный том в Энциклопедии человека) сперматозоида отца и яйцеклетки матери состоят из смешанных в разном сочетании различных глав ДНКового текста их родителей. Любая из хромосом, полученная нами от отца, образовалась в его семенниках незадолго до того, как мы были зачаты. Ранее, за всю историю человечества, точно такая хромосома никогда не существовала. Она была сформирована в процессе случайного перемешивания, происходящего при делении, постепенно образуясь из объединяющихся друг с другом участков хромосом предков со стороны отца. Также обстоит дело и с хромосомами яйцеклеток, за исключением того, что они формируются в организме нашей матери задолго до нашего рождения (почти сразу после рождения самой матери).
В зиготе, образующейся в результате слияния сперматозоида и яйцеклетки, материнские и отцовские гены смешиваются и перетасовываются в разных сочетаниях. Это происходит в результате того, что хромосомы не остаются неизменными в поколениях — они вступают во взаимодействие со своей случайно встреченной парой, обмениваясь с ней материалом. Такой постоянно идущий процесс получил название рекомбинации. И следующему поколению часто достается уже гибридная хромосома — часть от дедушки и часть от бабушки. Далее в ряду поколений пути генов постоянно пересекаются и расходятся. В результате слияния уникальной яйцеклетки с уникальным сперматозоидом и возникает уникальный во всех отношениях геном. И в этом смысле все мы уникумы. Каждый человеческий индивид хранит уникальную генетическую информацию, состоящую из случайной комбинации разных вариантов генов.
Отдельный ген можно рассматривать как единицу, продолжающую существовать в ряду многочисленных поколений. И в этом смысле ген бессмертен! Существует даже такая оригинальная точка зрения, что не сами люди, а их гены правят миром, а каждый конкретный живой организм служит лишь временным прибежищем для них. Эта не бесспорная мысль принадлежит Ричарду Докинзу, автору книги «Эгоистичный ген». По его мнению, гены практически бессмертны в отличие от живых организмов, в которых они существуют. Некоторым генам десятки и даже сотни миллионов лет. Гены, пользуясь терминологией Докинза, делают все возможное, чтобы выжить. Приспосабливаются к жаре и холоду, выбирая себе местечко получше, мигрируют с помощью человека и вступают в новые комбинации. Человек оказался довольно непоседливым хозяином. За тысячи лет он сильно исколесил мир, распространяя свое присутствие, влияние и свою начинку — гены. (Подробнее с идеями и аргументацией Р. Докинза любознательный читатель может познакомиться в Приложении 1). Такая точка зрения далеко не бесспорна, и из дальнейшего изложения нам станет понятно, что гены — это в первую очередь не эгоисты, а трудоголики. Имеются гены — «сторожа» генома, гены — «дворники», гены — «повара» и гены — «домоуправители». Обеспечивая свое существование, они обеспечивают и существование нас.
Сразу после зачатия будущий человек представляет собой всего одну клетку (зиготу), наделенную одной исходной ДНКовой библиотекой, содержащей 46 томов. Среди 46 томов всегда 23 получены от отца, а другие 23 — от матери. Тексты 23 отцовских и 23 материнских томов хотя и очень сходны в целом, тем не менее отличаются в деталях. Например, в отцовском томе № 18 на странице 253 существует предложение-предписание (в виде гена), в котором сказано, что глаза у ребенка должны быть карими, а в этом же материнском томе на той же странице тоже написано о цвете глаз, но согласно этому тексту цвет должен быть голубыми. Первое указание более строгое (доминирующее), чем второе, и в результате у ребенка глаза будут иметь карий цвет. Ген, который диктует свои права, называют доминирующим, а тот, который уступает свои права, — рецессивным. Голубой цвет глаз имеют только те люди, у которых и в материнском, и в отцовском тексте содержатся рецессивные гены, в которых есть указание на голубоглазость. Затем зигота делится на две клетки, каждая из них вновь делится и так до появления миллиардов клеток. Схематически процесс деления клеток изображен на рис. 8.
При каждом делении клетки содержащиеся в библиотеках тома ДНКового текста точно копируются, причем практически без ошибок. Организм взрослого человека состоит в среднем из 1014 клеток. Например, в головном мозге и печени насчитывается примерно по 10 млрд. клеток, в иммунной системе — 300 млрд. клеток. В течение всей жизни человека в его организме происходит около 1016 клеточных делений. Клеточный состав многих органов за 70 лет жизни обновляется несколько раз. И каждая из этих клеток содержит одни и те же 46 томов ДНКового текста.
Прочитали книгу? Предлагаем вам поделится своим впечатлением! Ваш отзыв будет полезен читателям, которые еще только собираются познакомиться с произведением.
Оставить комментарий
-
Вера Попова10 октябрь 15:04
Захватывает,понравилось, позитивно, рекомендую!Спасибо автору за хорошую историю!
Подарочек - Салма Кальк
-
Лиза04 октябрь 09:48
Роман просто супер давайте продолжение пожалуйста прочитаю обязательно Плакала я только когда Полина искала собаку Димы барса ♥️ Пожалуйста умаляю давайте еще !))
По осколкам твоего сердца - Анна Джейн
-
yokoo18 сентябрь 09:09
это прекрасный дарк роман!^^ очень нравится
#НенавистьЛюбовь. Книга вторая - Анна Джейн
-
Гость Алла10 август 14:46
Мне очень понравилась эта книга, когда я её читала в первый раз. А во второй понравилась еще больше. Чувствую,что буду читать и перечитывать периодически.Спасибо автору
Выбор без права выбора - Ольга Смирнова


